
Eline: “Increíble, el pequeño Mace tuvo que ser ingresado de inmediato en la sala de oncología”
El escaneo es intenso, muy intenso. Marco entra en pánico cada vez que le colocan el casco sobre su rostro. No deja de llorar hasta el final, cuando puedo sostenerlo de nuevo. Sudoroso, temblando, rojo brillante. No necesito decirte lo que eso le hace al corazón de una madre.

Tantas preguntas
Después del escaneo, el médico que sigue las imágenes viene a nosotros. Dice que ha hablado con el pediatra por teléfono y que nos llamarán mañana. “¿Es esto bueno? ¿Es esto malo? ¿Es este el procedimiento normal?”, me pregunto. No tenemos ni idea. Tan vago como siempre. Nos vamos a casa sin ninguna expectativa y permanecemos en gran ansiedad. La madre impaciente en mí de repente se da cuenta de que el personal de enfermería del hospital me dio códigos de acceso para consultar la información médica de Mace en línea. “¿Podría haber algo publicado ya?”, pienso para mí misma. Probablemente esta sea la peor decisión que he tomado en mucho tiempo.
Palabras difíciles
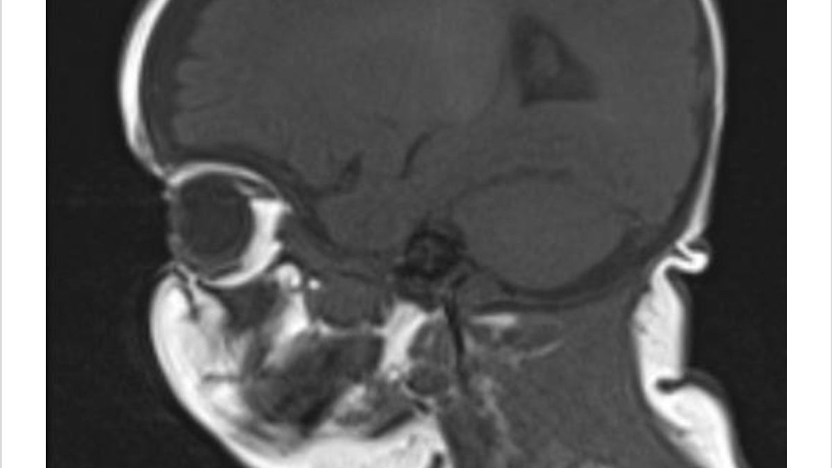
Inicio sesión y veo las imágenes. Imágenes que naturalmente no puedo entender. También hay un informe. Abro el informe y me abruma con términos médicos difíciles y frases que ni siquiera parecen holandesas. Reconozco algunas palabras: “anormal”, “agrandado” y “quiste”.Dios mío. Así que después de todo sí encontraron algo.

Desviaciones
El pequeño Marco tiene algo en su cabeza que realmente no debería estar allí. Mi mente está completamente cortocircuitada. Salgo afuera. Aún sin saber a dónde ir o qué quiero lograr, pero ya no soporto estar en casa. Eventualmente, camino hacia la casa de un amigo cercano para tomar aire. Allí, decido enviar el informe lleno de lenguaje complicado a una amiga, que también es enfermera. Ella traduce el documento para nosotros a términos comprensibles para el lego. Horrible. Esta será sin duda la noche más larga de nuestras vidas. No recibiremos una llamada del pediatra hasta mañana para escuchar su perspectiva sobre los hechos. Decido mantener a Marco cerca de mí esta noche.
Esperando la llamada telefónica
La mañana en realidad pasa volando. Nuestro Lewis no se siente bien y está vomitando por todas partes. Es bueno que se quede en casa conmigo. La distracción perfecta. A las 8.30 am llamo yo mismo al horario de atención de mi pediatra. Ella dice que miró las imágenes anoche. Ya está en contacto con un neurólogo pediátrico en el hospital especializado para consultar. Tienen una reunión telefónica programada y ella me devolverá la llamada después. A las 9.30 am recibimos la llamada. Debemos conducir al hospital inmediatamente. Hay una masa desconocida en la cabeza de Marco en un lugar donde no se supone que haya nada. No nos dan más información. El neurólogo pediátrico nos espera en el hospital. Quieren monitorear a Marco 24/7.
Llegó al hospital
Llegamos al departamento de emergencias de un hospital gigantesco. Increíble. En la recepción, me molesto un poco. La señora hace muchas preguntas, con calma, a su tiempo. Realmente no sabe para qué estamos aquí y me está poniendo nervioso. Sin embargo, de repente las cosas se mueven rápidamente. Nos llevan a una habitación y un pediatra entra inmediatamente. Una persona tan amable. Dice que no puede darnos las respuestas que buscamos, pero de todos modos quiere examinar brevemente a Marco. Sin más información, las señoras del transporte vienen a buscarnos y nos llevan al departamento.

Oncología
El siguiente médico proporciona aclaraciones sobre dónde estamos: oncología. Solo la palabra ya me hace llorar. Dice que este es el procedimiento cuando encuentran un tumor. Los médicos aún no saben si es benigno o maligno. El suelo se desvanece bajo mis pies. Ingresado en 'oncología', mi hijo. Esa tarde nos vemos abrumados por pediatras, neurólogos pediátricos, oncólogos pediátricos, un neurocirujano y un oftalmólogo. Cada vez tenemos que contar nuestra historia y nuestros hallazgos de nuevo. Aclaran un poco cada vez lo que ven y lo que podría o sucederá.
Los hechos preliminares
Poco a poco, aprenderemos más. Por ahora, solo sabemos que estamos en el hospital y debemos permanecer allí durante varios días. También sabemos que Marco tendrá que someterse a muchas pruebas. Ya sabemos que hay un tumor presionando su tronco encefálico. Aprendemos que el tronco encefálico controla todo nuestro cuerpo, incluyendo nuestra respiración y nuestro corazón. Marco tiene que ser monitoreado las 24 horas del día, los 7 días de la semana. No quieren correr el riesgo de que la presión en el tronco encefálico sea demasiado grande y tenga problemas en casa. También sabemos que se tendrá que realizar una nueva tomografía cerebral con líquido de contraste. Y que los cirujanos pueden querer tomar una biopsia. Además, permaneceremos en la incertidumbre por un tiempo.
Más fuerte que nunca
Estamos intentando ser más fuertes que nunca. Marco no se beneficia de tener un mamá o papá que estén decaídos. Nos estamos dejando llevar e intentando apoyarnos mutuamente donde podemos. También notamos el enorme apoyo de nuestra familia y amigos cercanos que esperan en casa noticias. Y están cruzando los dedos con nosotros por un buen resultado.
ELINE


